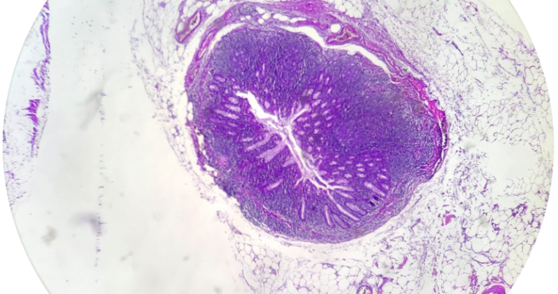
Las inclusiones benignas son focos de tejido ectópico (Tejido fuera de su lugar de origen) no neoplásico en los ganglios linfáticos. Ellos son clasificados en tres grupos: epitelial, nevomelanocítico y decidual. Es importante identificarlos para el diagnóstico diferencial con metástasis en ganglios linfáticos, particularmente en aquellos pacientes que presentan lesiones proliferativas benignas. En general, las inclusiones epiteliales se presentan dentro de los ganglios como quistes epiteliales o como numerosas estructuras que parecen conductos.
Las ubicaciones de las inclusiones en los ganglios linfático varían y podemos encontrarlas en la capsula, en el seno subcapsular, con afectación del nódulo linfático y afectación vascular.
El epitelio pude ser pseudoestratificado , de tipo tubárico, puede haber cuerpos de psamoma, ausencia de atipia celular y sin mitosis.
En este caso tenemos epitelio de tipo intestinal sin atipia citológica y sin mitosis que compromete al ganglio linfático.

Dra. López es egresada de la Universidad de El Salvador como Médico Patóloga y cuenta con vasta experiencia en el ramo de Patología que la han llevado a contar con cargos en su alma mater, así como en la Corte Suprema de Justicia, Instituto del Cancer o en el Hospital Nacional Rosales, por mencionar algunos ejemplos.